


Diseño de Sonrisa: La armonía estética y funcional de tu boca
Diseño de sonrisa
El diseño de sonrisa es un tratamiento que busca mejorar la apariencia de sus dientes, ajustando la forma, el tamaño y el color para lograr una sonrisa más estética y armónica.
Durante el proceso, el odontólogo toma en cuenta factores como:
- Color de la piel y edad: para elegir el tono dental más natural.
- Forma de la arcada: puede ser cuadrada, ovalada u otra, lo que orienta la selección del diseño dental.
- Armonía facial: se analizan los rasgos del rostro para que los dientes se adapten de manera equilibrada.
De esta manera, se seleccionan dientes con forma triangular, cuadrada u ovalada, buscando siempre que el resultado final sea natural, estético y personalizado para cada paciente.
¿En qué se basa un diseño de sonrisa?
Se estudian factores como:
- Forma, tamaño y color de los dientes.
- Proporción y alineación dental.
- Encías saludables y en equilibrio con los dientes.
- Relación de la sonrisa con el rostro y los labios.
Técnicas y procedimientos que pueden incluirse:
- Blanqueamiento dental para mejorar el color.
- Resinas o carillas para corregir forma y tamaño.
- Ortodoncia o alineadores para enderezar dientes.
- Contorneado gingival para lograr encías simétricas.
- Implantes o prótesis si faltan dientes.
Cada caso es único: no todos los pacientes requieren todos los procedimientos.
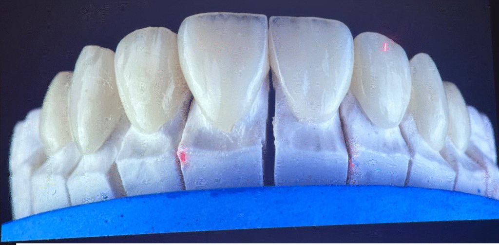
Carillas de silicato de litio tipo “lentes de contacto”
Las carillas de silicato de litio son láminas ultradelgadas que funcionan como un “lente de contacto dental”. Su gran ventaja es que se colocan con una preparación mínimamente invasiva, se utiliza el microscopio, es decir, casi no se desgasta el diente natural.
¿Cómo lo hacemos?
- Valoración inicial: Revisamos la salud bucal, tomamos fotografías y escaneos digitales para diseñar la sonrisa.
- Planeación digital: Con un software de diseño de sonrisa, definimos la forma, el tamaño y el color de las carillas en armonía con el rostro y la piel del paciente.
- Preparación mínima: En algunos casos solo se pule ligeramente la superficie dental; en otros ni siquiera es necesario desgastar.
- Prueba estética: Se colocan carillas provisionales o pruebas digitales para que el paciente visualice cómo quedará su sonrisa.
- Colocación definitiva: Finalmente, las carillas de silicato de litio se adhieren firmemente al diente con un sistema de cementado especializado, logrando un resultado natural, resistente y duradero.
👉 Estas carillas son ideales para mejorar color, forma y alineación de los dientes de manera estética y conservadora.
- Mayor visibilidad: El microscopio permite una visión detallada del conducto radicular.
- Precisión: Ayuda a identificar y tratar conductos accesorios o calcificados.
- Menos invasión: Permite realizar procedimientos más conservadores.
- Mejores resultados: Puede mejorar la tasa de éxito de los tratamientos de endodoncia.
Los microscopios utilizados en los tratamientos dentales suelen tener iluminación y magnificación variables, lo que facilita la visualización de estructuras dentales pequeñas.


Beneficios principales:
- Mejora la estética y la seguridad al sonreír.
- Corrige imperfecciones visibles.
- Armoniza la sonrisa con el rostro.
- Aumenta la autoestima y la confianza.
Consejo del odontólogo:
Un buen diseño de sonrisa no debe verse artificial.
La clave está en respetar tu morfología facial, cuidar la función masticatoria y mantener la salud de encías y dientes.
La belleza verdadera de una sonrisa empieza por una boca sana.

Diseño de Sonrisa: La armonía estética y funcional de tu boca
Agenda tu valoración con nosotros y recibe un plan de tratamiento personalizado.
