
Prótesis Fija
La prótesis fija es una excelente opción de rehabilitación dental cuando se han perdido uno o varios dientes, pero se conservan piezas naturales que pueden funcionar como soporte.
Este tipo de tratamiento ofrece:
- ✅ Alta estética
- ✅ Excelente funcionalidad
- ✅ Máxima comodidad
A diferencia de otros sistemas removibles, la prótesis fija permanece cementada de forma permanente, por lo que no puede ser retirada por el paciente.

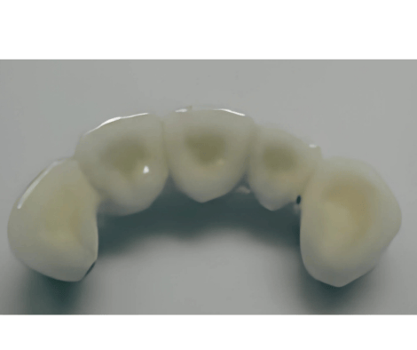
Antes

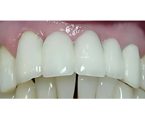
Después
Materiales de Fabricación
Las prótesis fijas pueden fabricarse en diversos materiales, siendo la porcelana uno de los más utilizados por sus propiedades estéticas y funcionales. Existen dos variantes principales:
Prótesis Libre de Metal en Zirconio o Emax.
- Compuesta totalmente por porcelana o materiales cerámicos.
- Ideal para zonas visibles por su alta estética.
Zirconio o Emax.
- Prótesis libres de metal en Zirconio o Emax.
- El zirconio es un material muy resistente, ideal para colocarlo en muelas o dientes posteriores, ya que soporta mejor la fuerza de la masticación.
El E.max (disilicato de litio) es un material más estético y natural en apariencia, aunque un poco menos resistente que el zirconio. Por eso, suele recomendarse para dientes frontales, donde la estética es más importante. - Mayor resistencia, ideal para sectores posteriores (molares).
Proceso de Colocación
Para colocar una prótesis fija, es necesario contar con piezas dentales pilares. Estas deben ser previamente preparadas (desgastadas) para permitir una correcta adaptación y cementado de la estructura protésica.

| Vista inicial de los dientes pilares |
|---|

| Prótesis colocada |
|---|

| Resultado final |
|---|
Alternativa: Implantes Dentales
En algunos casos, los implantes dentales pueden ser una alternativa a la prótesis fija. Aunque ofrecen grandes beneficios, no todos los pacientes son candidatos, y su viabilidad debe evaluarse clínicamente.
Los implantes dentales es una alternativa para no desgastar el diente natural

Colocación del implante

Rehabilitación final
¿Qué opción es mejor para ti?
Cada caso es único. En nuestra clínica realizamos una valoración integral para ofrecerte la mejor solución funcional, estética y duradera.
